您的位置: 网站首页 >> 产品中心 >> >> 抗体 > 乳腺癌相关抗原BRCAA1抗体
产品名称:

乳腺癌相关抗原BRCAA1抗体

产品型号: 产品时间: 2023-03-08
乳腺癌相关抗原BRCAA1抗体该基因编码一种与视网膜母细胞瘤结合蛋白-1序列相似的蛋白质。编码蛋白是组蛋白脱乙酰基酶依赖性Sin3a转录共加压复合物的一个亚单位,在包括增殖、分化、凋亡、肿瘤发生和细胞命运测定在内的多种细胞过程中发挥作用。该基因产物由乳腺癌患者分离出的IgG抗体识别,似乎是一种与广泛人类恶性肿瘤相关的分子标记物。编码不同亚型的替代转录剪接变异体已经被描述。

产品概述

英文名称:Anti-BRCAA1​

中文名称:乳腺癌相关抗原BRCAA1抗体

抗体来源:兔子

克隆类型:多克隆

交叉反应:人、小鼠、大鼠、鸡、狗、牛、马​

产品应用:ELISA=1:500-1000 IHC-P=1:100-500 IHC-F=1:100-500 IF=1:100-500(石蜡切片需做抗原修复)

分  子 量:148kDa

​细胞定位:细胞核 细胞浆

状态:冻干或液体

浓度:1mg/ml

来源于:KLH conjugated synthetic peptide derived from human BRCAA1:21-120/1312

亚型:IgG

纯化方法:affinity purified by Protein A

储存液:0.01M TBS(pH7.4) with 1% BSA, 0.03% Proclin300 and 50% Glycerol.

别    名:ARID 4B; ARID domain-containing protein 4B; ARID4B; AT rich interactive domain 4B (Rbp1 like); AT rich interactive domain 4B; BCAA; BRCAA 1; BRCAA1; Breast cancer associated antigen 1; Breast cancer associated antigen BRCAA 1; Breast cancer associated antigen BRCAA1; Breast carcinoma associated antigen; Histone deacetylase complex subunit SAP180; Rb binding protein homolog; RBBP1 L1; RBBP1L1; Rbp 1 like; Rbp1 l1; Rbp1 like; RBP1 like protein; RBP1L; Rbp1l1; Retinoblastoma binding protein 1 like 1; SAP 180; SAP180; SIN3A associated protein 180; ARI4B_HUMAN.

保存条件:在-20°C下保存一年。避免反复冻融。冻干抗体在室温下至少稳定一个月,并在-20°C下保持一年以上。当在无菌pH7.4 0.01M PBS或抗体稀释剂中重组时,抗体在2-4°C下至少稳定两周。

 

​产品介绍:

该基因编码一种与视网膜母细胞瘤结合蛋白-1序列相似的蛋白质。编码蛋白是组蛋白脱乙酰基酶依赖性Sin3a转录共加压复合物的一个亚单位,在包括增殖、分化、凋亡、肿瘤发生和细胞命运测定在内的多种细胞过程中发挥作用。该基因产物由乳腺癌患者分离出的IgG抗体识别,似乎是一种与广泛人类恶性肿瘤相关的分子标记物。编码不同亚型的替代转录剪接变异体已经被描述。[由RefSeq提供,2008年7月]。

 

功能:

作为转录抑制因子。可能在sin3a共压复合物的组装和/或酶活性中起作用,或在复合物和其他调节复合物之间的相互作用中起作用。

 

子单元:

SIN3A压芯机复合体的组成部分,由SIN3A、SAP130、SUDS3/SAP45、SAP180、HDAC1和HDAC2组成。

 

亚细胞位置:

核(通过相似性)。细胞质。注=乳腺癌细胞的细胞质。

 

组织特异性:

在睾丸和乳腺癌、肺癌、结肠癌、胰腺癌和卵巢癌中高度表达。在胸腺、前列腺和卵巢低水平表达。

 

相似性:

包含1 ARID 域。

 

重要提示:

本产品仅用于研究用途,不用于人类、治疗或诊断应用

​​​

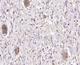
多聚甲醛固定,石蜡包埋(人卵巢癌);用柠檬酸钠缓冲液(pH6.0)煮沸15min后提取抗原;用3%过氧化氢阻断内源性过氧化物酶20分钟;阻断缓冲液(正常山羊血清)37℃30min;用BRCAA1抗体进行抗体孵育未结合的单克隆抗体在1:400下在4°C下过夜,然后根据SP试剂盒(兔子)说明和DAB染色进行操作。

公司优势:
1)质量:我司提供的的试剂为世界。
2)价格:价格实惠,量大从优。
4)服务:提供完整的售前、售后和售中服务。售后到底。

如需订购乳腺癌相关抗原BRCAA1抗体​​,请联系我们。

Anti-OAT-3(Organic anion transporter 3)  阴离子转运蛋白-3抗体
Anti-OAT4L/URAT1 (Urate Transporter 1)  尿酸盐重吸收转运子1抗体
Anti-OCT1 (organic cat-ion transporter1)  阳离子转运器1抗体
Anti-OCT2 (organic cat-ion transporter2)  B细胞特异性转录因子抗体
Anti-Oct-4 antibody  胚胎干细胞关键蛋白抗体

留言框

  • 产品:

  • 您的单位:

  • 您的姓名:

  • 联系电话:

  • 常用邮箱:

  • 省份:

  • 详细地址:

  • 补充说明:

  • 验证码:

    请输入计算结果(填写阿拉伯数字),如:三加四=7
分享到:
版权所有©2019 上海晅科生物科技有限公司 备案号:京ICP证000000号
  • 扫一扫,关注我们