英文名称:Anti-BACH1
中文名称:转录调节蛋白BACH1抗体
抗体来源:兔子
克隆类型:多克隆
交叉反应:人、小鼠、大鼠、鸡、狗、猪、牛、马、兔
产品应用:WB=1:500-2000 ELISA=1:500-1000 IHC-P=1:100-500 IHC-F=1:100-500 IF=1:100-500(石蜡切片需做抗原修复)
分 子 量:81kDa
细胞定位:细胞核
状态:冻干或液体
浓度:1mg/ml
来源于:KLH conjugated synthetic peptide derived from human BACH1:501-600/736
亚型:IgG
纯化方法:affinity purified by Protein A
储存液:0.01M TBS(pH7.4) with 1% BSA, 0.03% Proclin300 and 50% Glycerol.
别 名:BTB Domain And CNC Homolog 1; BTB And CNC Homology 1, Basic Leucine Zipper Transcription Factor 1; Basic Region Leucine Zipper Transcriptional Regulator BACH1; Transcription Regulator Protein BACH1; BTB And CNC Homolog 1; BACH-1; BTBD24; HA2303; BACH1_HUMAN;
保存条件:在-20°C下保存一年。避免反复冻融。冻干抗体在室温下至少稳定一个月,并在-20°C下保持一年以上。当在无菌pH7.4 0.01M PBS或抗体稀释剂中重组时,抗体在2-4°C下至少稳定两周。
产品介绍:
该基因编码一个转录因子,属于碱性区亮氨酸拉链因子家族(CNC Bzip)的帽领型。编码蛋白包含广泛的复合物、tramrack、bric-a-brac/poxvirus和锌指(btb/poz)结构域,这是CNC Bzip家族成员的非典型。这些btb/poz结构域促进蛋白质-蛋白质相互作用和形成同型和/或异低聚物。当这种编码蛋白与mafk形成异二聚体时,它作为maf识别元件(mare)的阻遏物发挥作用,转录被抑制。已经鉴定出该基因的多个选择性剪接转录变体。[参考文献Seq提供,2009年5月]
功能:
作为抑制因子或激活因子的转录调节因子。体外与NF-E2结合位点结合。在mafk调控转录激活和抑制中起重要作用。
亚细胞位置:
原子核。
相似性:
属于bzip家族。CNC子家族。
包含1个BTB(POZ)域。
包含1个bzip域。
重要提示:
本产品仅用于研究用途,不用于人类、治疗或诊断应用
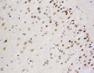
组织/细胞:大鼠脑组织;4%多聚甲醛固定石蜡包埋;
抗原提取:柠檬酸缓冲液(0.01M,pH 6),15min煮沸,用3%过氧化氢阻断内源性过氧化物酶30min;37℃下阻断缓冲液(正常山羊血清)20 min;
孵育:抗Bach1多克隆抗体,未结合1:200,4°C下过夜,然后与二级抗体结合,DAB染色。
公司优势:
1)质量:我司提供的的试剂为世界。
2)价格:价格实惠,量大从优。
4)服务:提供完整的售前、售后和售中服务。售后到底。
如需订购转录调节蛋白BACH1抗体,请联系我们。
| Anti-Nm23-H2 (nucleoside dIPhosphatase kinase B) 肿瘤抑制基因抗体 |
| Anti-Nociceptin 孤菲肽/痛敏肽抗体 |
| Anti-Nociceptin receptor 孤菲肽受体/痛敏肽受体抗体 |
| Anti-Nogo R/NGR 轴索过度生长抑制因子受体/Nogo受体抗体 |
| Anti-Nogo-A 轴索过度生长抑制因子-A抗体 |