您的位置: 网站首页 >> 产品中心 >> >> 抗体 > ADRB2肾上腺素能受体β2/β2-AR抗体
产品名称:

ADRB2肾上腺素能受体β2/β2-AR抗体

产品型号: 产品时间: 2023-03-08
β2肾上腺素能受体是G蛋白偶联受体超家族的成员。这种受体直接与它的一种终效应器C L型钙通道Ca(V)1.2有关。这种受体通道复合物还含有一种G蛋白、一种腺苷酸环化酶、cAMP依赖性激酶和平衡磷酸酶pp2a。信号复合物的装配提供了一种机制,确保了这种G蛋白偶联受体的特异性和快速信号传递。这个基因在编码序列或未翻译序列中不包含内含子。这种基因的不同多态性ADRB2肾上腺素能受体β2/β2-AR抗体

产品概述

英文名称:Anti-ADRA2​

中文名称:ADRB2肾上腺素能受体β2/β2-AR抗体

抗体来源:兔子

克隆类型:多克隆

交叉反应:人,小鼠,大鼠,狗,兔子​​​

产品应用:WB=1:500-2000 IHC-P=1:400-800 IHC-F=1:400-800 Flow-Cyt=1μg /test IF=1:100-500(石蜡切片需做抗原修复)

尚未在其他应用程序中测试。

用户终应确定合适稀释浓度。

分子量:46kDa

细胞定位:细胞浆 细胞膜

状态:冻干或液体

浓度:1mg/ml

来源于:KLH conjugated synthetic peptide derived from human beta 2 Adrenergic Receptor:201-300/418 <Cytoplasmic>

亚型:IgG

纯化方法:affinity purified by Protein A

储存液:0.01M TBS(pH7.4) with 1% BSA, 0.03% Proclin300 and 50% Glycerol.

​别    名:Beta 2-adrenergic receptor; beta 2 Adrenergic Receptor; ADRB2; ADRB2R; ADRBR; ADRB2_HUMAN; Adrenergic beta 2 receptor surface; B2AR; BAR; beta 2 adrenoceptor; Beta 2 adrenoreceptor; BETA2AR; Catecholamine receptor; beta2-adrenergic receptor.

保存条件:在-20°C下保存一年。避免重复冻融循环。冻干抗体在室温下至少稳定一个月,并在-20°C下保持一年以上。当在无菌pH7.4 0.01M PBS或抗体稀释剂中重组时,抗体在2-4°C下至少稳定两周。

产品介绍

β2肾上腺素能受体是G蛋白偶联受体超家族的成员。这种受体直接与它的一种终效应器C L型钙通道Ca(V)1.2有关。这种受体通道复合物还含有一种G蛋白、一种腺苷酸环化酶、cAMP依赖性激酶和平衡磷酸酶pp2a。信号复合物的装配提供了一种机制,确保了这种G蛋白偶联受体的特异性和快速信号传递。这个基因在编码序列或未翻译序列中不包含内含子。这种基因的不同多态性、点突变和/或下调与夜间哮喘、肥胖和2型糖尿病有关。β2肾上腺素能受体在脂肪、血液、大脑、心脏、肺、鼻子、胰腺、骨骼肌、皮肤和血管中的表达已被报道。

 

功能:

β肾上腺素能受体通过G蛋白的作用介导儿茶酚胺诱导的腺苷酸环化酶的激活。β-2-肾上腺素受体结合肾上腺素的亲和力大约是去甲肾上腺素的30倍。

 

Subunit:

结合SLC9A3R1和GPRASP1。与ARRB1和ARRB2相互作用。与SRC、USP20和USP33相互作用。与VHL相互作用;ADRB2的羟基化作用增强,泛素化ADRB2导致其降解。与egln3相互作用;羟基化adrb2促进VHL-E3连接酶介导的泛素化。

 

亚细胞位置:

细胞膜;多道膜蛋白。注=在细胞膜上与VHL共存。

 

翻译后修改:

棕榈酰化;通过将cys-341锚定到质膜上,可降低ser-345和ser-346的可及性。激动剂刺激促进去甲酰化,并进一步允许ser-345和ser-346磷酸化。

在激动剂刺激下被pka和bark磷酸化,从而调节受体的同源脱敏。pka介导的磷酸化似乎促进树皮的磷酸化。

Tyr-141的磷酸化由胰岛素诱导并导致受体的超敏。

多泛素化。激动剂诱导的泛素化导致对溶酶体内部受体进行分类降解。USP20和USP33的去泛素作用导致长时间激动剂刺激后的ADRB2循环和再敏。USP20和USP33组成性相关,在激动剂刺激后立即解离。VHL-E3连接酶复合物的泛素化依赖于氧。

egln3的羟基化仅在常氧条件下发生,增加了与vhl的相互作用以及随后的adrb2泛素化和降解。

 

相似性:

属于G蛋白偶联受体1家族。

肾上腺素能受体亚家族。ADRB2亚家族。

 

重要注意事项:

整合素样金属蛋白酶与凝血酶1型-7用于动脉粥样硬化导致早期血管基质修复作用的研究

本产品仅用于研究用途,不用于人类、治疗或诊断应用。

​​​​​​

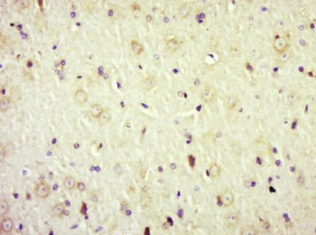
多聚甲醛固定,石蜡包埋(大鼠肝脏);用柠檬酸钠缓冲液(pH6.0)煮沸15min;用3%过氧化氢阻断内源过氧化物酶20分钟;阻断缓冲液(正常山羊血清)37℃ 30min;抗体(AdRB2)多克隆抗体在1:500过夜孵育。在4°C温度下,然后用共轭二次进行20分钟的DAB染色。​

公司优势:
1)质量:我司提供的的试剂为世界。
2)价格:价格实惠,量大从优。
4)服务:提供完整的售前、售后和售中服务。售后到底。

如需订购ADRB2肾上腺素能受体β2/β2-AR抗体​,请联系我们。

Anti-PANDER/FAM3A  胰腺衍生因子抗体
Anti-PAP2c (Phosphatidic acid phosphatase 2c)  磷脂酸磷酸酶2C抗体
Anti-PAR-1 (Protease-activated receptors-1)  蛋白酶激活受体-1抗体
Anti-PAR-2 (Protease-activated receptors-2)  蛋白酶激活受体-2抗体
Anti-PAR4 (protease-activated receptor 4)  蛋白酶活化受体4/前列腺细胞凋亡反应蛋白4抗体
Anti-PARP(poly ADP-ribose polymerase)  多腺苷二磷酸多聚酶抗体

留言框

  • 产品:

  • 您的单位:

  • 您的姓名:

  • 联系电话:

  • 常用邮箱:

  • 省份:

  • 详细地址:

  • 补充说明:

  • 验证码:

    请输入计算结果(填写阿拉伯数字),如:三加四=7
分享到:
版权所有©2019 上海晅科生物科技有限公司 备案号:京ICP证000000号
  • 扫一扫,关注我们