您的位置: 网站首页 >> 产品中心 >> >> 抗体 > 整合素样金属蛋白酶与凝血酶1型-7抗体
产品名称:

整合素样金属蛋白酶与凝血酶1型-7抗体

产品型号: 产品时间: 2023-03-08
整合素样金属蛋白酶与凝血酶1型-7抗体可能在comp降解中起作用的金属蛋白酶。每个亚单位结合1个锌离子。酸碱度:7.5~9.5之间。【亚细胞定位】分泌的,细胞外空间,细胞外基质(通过相似性)。注=也发现与心脏、大脑、胎盘、肺、肝脏、骨骼肌、肾脏和胰腺中表达的外部细胞表面[组织特异性]有关。在半月板、骨骼、肌腱、软骨、滑膜、脂肪和韧带中检测。关节炎患者关节软骨和滑膜表达上调。

产品概述

英文名称:Anti-ADAMTS7​

中文名称:整合素样金属蛋白酶与凝血酶1型-7抗体

抗体来源:兔子

克隆类型:多克隆

交叉反应:人、小鼠、大鼠、牛​

产品应用:ELISA=1:500-1000 IHC-P=1:400-800 IHC-F=1:400-800 IF=1:100-500(石蜡切片需做抗原修复)

尚未在其他应用程序中测试。

用户终应确定合适稀释浓度。

分子量:158kDa

细胞定位:细胞膜 细胞外基质 分泌型蛋白

状态:冻干或液体

浓度:1mg/ml

来源于:KLH conjugated synthetic peptide derived from human ADAMTS7:1601-1686/1686

亚型:IgG

纯化方法:affinity purified by Protein A

储存液:0.01M TBS(pH7.4) with 1% BSA, 0.03% Proclin300 and 50% Glycerol.

​别    名:A disintegrin and metalloproteinase with thrombospondin motifs 7; ADAM metallopeptidase with thrombospondin type 1 motif 7; A disintegrin and metalloprotease with thrombospondin motifs 7 preproprotein ; A disintegrin and metalloproteinase with thrombospondin motifs 7; A disintegrin like and metalloprotease (reprolysin type) with thrombospondin type 1 motif 7; A disintegrin like and metalloprotease with thrombospondin type 1 motif 7; ADAM metallopeptidase with thrombospondin type 1 motif 7; ADAM metallopeptidase with thrombospondin type 1 motif 7 preproprotein; ADAM TS 7; ADAM TS7; ADAMTS 7; ADAMTS7; COMPase; DKFZp434H204; ATS7_HUMAN.

保存条件:在-20°C下保存一年。避免重复冻融循环。冻干抗体在室温下至少稳定一个月,并在-20°C下保持一年以上。当在无菌pH7.4 0.01M PBS或抗体稀释剂中重组时,抗体在2-4°C下至少稳定两周。

产品介绍

可能在comp降解中起作用的金属蛋白酶。每个亚单位结合1个锌离子。酸碱度:7.5~9.5之间。【亚细胞定位】分泌的,细胞外空间,细胞外基质(通过相似性)。注=也发现与心脏、大脑、胎盘、肺、肝脏、骨骼肌、肾脏和胰腺中表达的外部细胞表面[组织特异性]有关。在半月板、骨骼、肌腱、软骨、滑膜、脂肪和韧带中检测。关节炎患者关节软骨和滑膜表达上调。

 

功能:

可能在comp降解中起作用的金属蛋白酶。

 

Subunit:

与公司互动。

 

亚细胞位置:

分泌的,细胞外间隙,细胞外基质。注=也发现与外部细胞表面相关。

 

组织特异性:

在心脏、大脑、胎盘、肺、肝脏、骨骼肌、肾脏和胰腺中表达。在半月板、骨骼、肌腱、软骨、滑膜、脂肪和韧带中检测。

 

翻译后修改:

N-糖基化。

O-糖基化蛋白聚糖。含有硫酸软骨素(相似)。

可能被一个弗林内肽酶(通过相似性)分裂。前体按顺序加工。

 

相似性:

包含1个分解域。

包含1个肽酶M12b结构域。

包含1个plac域。

包含8个TSP类型1域。

 

重要注意事项:

整合素样金属蛋白酶与凝血酶1型-7用于动脉粥样硬化导致早期血管基质修复作用的研究

本产品仅用于研究用途,不用于人类、治疗或诊断应用。

​​​​​

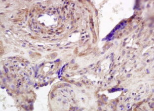
组织/细胞:人胎盘组织paraformaldehyde;4 %的固定和石蜡包埋。

抗原修复缓冲液(0.01M枸橼酸:沐浴,pH值为6.0),沸腾是由15块内源性过氧化物酶;3 %过氧化氢为30分钟(正常山羊血清封闭缓冲液;5,C)是在37℃20分钟;

抗多克隆抗体孵育:adamts7,unconjugated 1∶200(4)之后,一夜之间,conjugation二次抗体到SP(0.023)和DAB染色(C 0)

公司优势:
1)质量:我司提供的的试剂为世界。
2)价格:价格实惠,量大从优。
4)服务:提供完整的售前、售后和售中服务。售后到底。

如需订购整合素样金属蛋白酶与凝血酶1型-7抗体​,请联系我们。

Anti-P38 MAPK(MAPK14 non-phospha)  丝裂原活化蛋白激酶p38抗体
Anti-P-p38 MAPK/MAPK14 (phospho-specific Thr180/Tyr182)  磷酸化-丝裂原活化蛋白激酶p38抗体
Anti-P53(wt-p53)  肿瘤抑制基因抗体(野生型P53)
Anti-P63 protein  P63 肿瘤抑制基因抗体
Anti-PACAP/VIP receptor  腺苷酸环化酶激活肽受体-II/血管活性肠肽受体-II抗体
Anti-PACAP/VIP receptor-I  腺苷酸环化酶激活肽受体-I/血管活性肠肽-I抗体

留言框

  • 产品:

  • 您的单位:

  • 您的姓名:

  • 联系电话:

  • 常用邮箱:

  • 省份:

  • 详细地址:

  • 补充说明:

  • 验证码:

    请输入计算结果(填写阿拉伯数字),如:三加四=7
分享到:
版权所有©2019 上海晅科生物科技有限公司 备案号:京ICP证000000号
  • 扫一扫,关注我们