您的位置: 网站首页 >> 产品中心 >> >> 抗体 > 载脂蛋白B-mRNA编辑酶复合物3B抗体
产品名称:

载脂蛋白B-mRNA编辑酶复合物3B抗体

产品型号: 产品时间: 2023-03-08
Apobec蛋白通过去除病毒RNA和DNA的胞嘧啶残基来抑制逆转录病毒。这七个apobec3基因或假基因被发现在一个被认为是由22号染色体上的基因重复引起的簇中。载脂蛋白3被认为是RNA编辑酶,并在细胞生长中发挥作用。apobec3b又称phorbolin-1相关蛋白或phorbolin-2/3,是一种382氨基酸蛋白,属于胞苷和脱氧胞苷酸脱氨酶家族。载脂蛋白B-mRNA编辑酶复合物3B抗体

产品概述

英文名称:Anti-APOBEC3B​

中文名称:载脂蛋白B-mRNA编辑酶复合物3B抗体

抗体来源:兔

克隆类型:多克隆

交叉反应:人、大鼠

产品应用:WB=1:500-2000 ELISA=1:500-1000 IHC-P=1:400-800 IHC-F=1:400-800 ICC=1:100-500 IF=1:100-500(石蜡切片需做抗原修复)

尚未在其他应用程序中测试。

用户终应确定合适稀释浓度。

分子量:46kDa

细胞定位:细胞核

状态:冻干或液体

浓度:1mg/ml

来源于:KLH conjugated synthetic peptide derived from human APOBEC3B:1-100/382

亚型:IgG

纯化方法:affinity purified by Protein A

储存液:0.01M TBS(pH7.4) with 1% BSA, 0.03% Proclin300 and 50% Glycerol.

​别    名:APOBEC1L; Apolipoprotein B mRNA editing enzyme catalytic polypeptide like 3B; apolipoprotein B mRNA editing enzyme, catalytic;ARCD3; ARP4; bK150C2.2; Cytidine deaminase; DJ742C19.2; FLJ21201; Phorbolin 1 related protein; Phorbolin 2; Phorbolin 2/3; Phorbolin 3; PHRBNL; Probable DNA dC>dU editing enzyme APOBEC3B.

保存条件:在-20°C下保存一年。避免重复冻融循环。冻干抗体在室温下至少稳定一个月,并在-20°C下保持一年以上。当在无菌pH7.4 0.01M PBS或抗体稀释剂中重组时,抗体在2-4°C下至少稳定两周。

产品介绍

Apobec蛋白通过去除病毒RNA和DNA的胞嘧啶残基来抑制逆转录病毒。这七个apobec3基因或假基因被发现在一个被认为是由22号染色体上的基因重复引起的簇中。载脂蛋白3被认为是RNA编辑酶,并在细胞生长中发挥作用。apobec3b又称phorbolin-1相关蛋白或phorbolin-2/3,是一种382氨基酸蛋白,属于胞苷和脱氧胞苷酸脱氨酶家族。apobec3b在RNA分子上缺乏胞苷脱氨酶活性,但已被证明与apob和富含Au的RNA结合。apobec3b形成同二聚体并与apobec3g相互作用。apobec3b在心脏、睾丸、胸腺、前列腺、卵巢、脾脏和外周血白细胞中以中等水平表达。

 

功能:

apobec3b是胞苷脱氨酶基因家族的成员。然而,至少在RNA分子(单体核苷底物或合成apob、nf1和nat1 RNA模板)上缺乏胞苷脱氨酶活性。它与载脂蛋白B和富含金的RNA结合。在体外不能降低HIV-1的感染性。

 

Subunit:

同聚二聚体与apobec3g交互。不与apobec1交互。

 

亚细胞位置:

细胞核。

 

组织特异性:

在外周血白细胞、脾脏、睾丸、心脏、胸腺、前列腺和卵巢中高和中等水平表达。在其他一些组织中也以低水平表达。

 

相似性:

它是在22号染色体上的一个簇中发现的7个相关基因或假基因之一,被认为是由基因复制引起的。

属于胞苷和脱氧胞苷酸脱氨酶家族。

包含2个CMP/DCMP脱氨酶锌结合域。

 

重要注意事项:

本产品仅用于研究用途,不用于人类、治疗或诊断应用。

​​​​​​

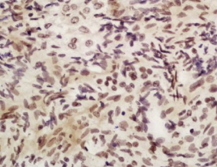
组织/细胞:大鼠卵巢组织;4%多聚甲醛固定石蜡包埋;

抗原提取:柠檬酸缓冲液(0.01M,pH 6),15min煮沸,用3%过氧化氢阻断内源性过氧化物酶30min;37℃下阻断缓冲液(正常山羊血清,C-00 05)20 min;

孵育:抗apobec3b多克隆抗体,未结合(BS-12494R)1:200,4°C下过夜,然后与二级抗体结合,DAB染色。

公司优势:
1)质量:我司提供的的试剂为世界。
2)价格:价格实惠,量大从优。
4)服务:提供完整的售前、售后和售中服务。售后到底。

如需订购载脂蛋白B-mRNA编辑酶复合物3B抗体​​​​​​​​​​​,请联系我们。

Anti-MRP3(Multidrug Resistanec-Associated Protein 3)  多药耐药相关蛋白3抗体
Anti-MrpL28 (mitochondrial ribosomal protein L28)  线粒体核糖体蛋白L28抗体
Anti-MSH-2 (MutS homolog 2)  错配修复蛋白2抗体
anti-MLH1(Mutl homolog l gene)  错配修复蛋白1抗体
Anti-MSLN (mesothelin)  间皮素抗体
anti-MUC5AC/Mucin 5AC(Gastric Mucin M1)  胃粘液素抗体
Anti-MTR-1A (Melatonin receptor-1A)  褪黑素受体/松果体素受体抗体
Anti-mucin-1/Muc-1/CD227 antigen (Epithelial Membrane Antigen )  粘蛋白-1/上皮膜抗原抗体

留言框

  • 产品:

  • 您的单位:

  • 您的姓名:

  • 联系电话:

  • 常用邮箱:

  • 省份:

  • 详细地址:

  • 补充说明:

  • 验证码:

    请输入计算结果(填写阿拉伯数字),如:三加四=7
分享到:
版权所有©2019 上海晅科生物科技有限公司 备案号:京ICP证000000号
  • 扫一扫,关注我们