英文名称:Anti-Alpha 2 antiplasmin
中文名称:α2纤溶酶色素上皮衍生因子抗体(A2AP)
抗体来源:兔
克隆类型:多克隆
交叉反应:人、大鼠、小鼠、狗、马、兔子
产品应用:WB=1:500-2000 ELISA=1:500-1000 IHC-P=1:400-800 IHC-F=1:400-800 IF=1:100-500(石蜡切片需做抗原修复)
尚未在其他应用程序中测试。
用户终应确定合适稀释浓度。
分子量:50kDa
细胞定位:分泌型蛋白
状态:冻干或液体
浓度:1mg/ml
来源于:KLH conjugated synthetic peptide derived from human SERPINF2:161-260/491
亚型:IgG
纯化方法:affinity purified by Protein A
储存液:0.01M TBS(pH7.4) with 1% BSA, 0.03% Proclin300 and 50% Glycerol.
别 名:A2AP; A2AP_HUMAN; AAP; Alpha 2 antiplasmin; Alpha 2 antiplasmin pigment epithelium derived factor; Alpha 2 AP; ALPHA 2 PI; Alpha 2 plasmin inhibitor; Alpha 2 plasmin inhibitor deficiency; Alpha-2-antiplasmin; Alpha-2-AP; Alpha-2-PI; Alpha-2-plasmin inhibitor; Antiplasmin deficiency; API; Plasmin inhibitor deficiency; PLI; Serine (or cysteine) peptidase inhibitor, clade F, member 2; Serine (Or cysteine) peptidase inhibitor, clade F, member 2, isoform CRA_c; Serine (or cysteine) proteinase inhibitor, clade F (alpha 2 antiplasmin pigment epithelium derived factor) member 2; Serine (Or cysteine) proteinase inhibitor, clade F, member 2; Serine or cysteine peptidase inhibitor clade F member 2; Serpin F2; Serpin peptidase inhibitor clade F; Serpin peptidase inhibitor, clade F (alpha 2 antiplasmin pigment epithelium derived factor) member 2; SERPINF2.
保存条件:在-20°C下保存一年。避免重复冻融循环。冻干抗体在室温下至少稳定一个月,并在-20°C下保持一年以上。当在无菌pH7.4 0.01M PBS或抗体稀释剂中重组时,抗体在2-4°C下至少稳定两周。
产品介绍
α2抗蛋白酶蛋白是丝氨酸蛋白酶抑制剂serpin家族的成员。该蛋白是纤溶酶的主要抑制剂,可降解纤维蛋白和其他各种蛋白质。因此,该基因的正常功能在调节凝血途径中起着重要作用。该基因突变导致α-2-纤溶酶抑制剂缺乏,其特征是严重出血性。已发现编码该基因不同亚型的多种转录变体。
功能:
丝氨酸蛋白酶抑制剂。这种抑制剂的主要靶点是纤溶酶和胰蛋白酶,但也能使基质蛋白酶3/TMPRSS7和糜蛋白酶失活。
Subunit:
与TMPRSS7形成蛋白酶抑制异二聚体。
亚细胞位置:
分泌的
组织特异性:
由肝脏表达,在血浆中分泌。
疾病:
α-2-纤溶酶抑制剂缺乏症(APLID)【MIM:262850】:一种常染色体隐性疾病,导致严重的出血素质。注=该疾病是由影响本条所述基因的突变引起的。
相似性:
属于塞尔平家族。
重要注意事项:
本产品仅用于研究用途,不用于人类、治疗或诊断应用。
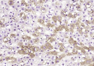
多聚甲醛固定,石蜡包埋(大鼠肝脏);用柠檬酸钠缓冲液(pH6.0)煮沸15min后获得抗原;用3%过氧化氢阻断内源过氧化物酶20分钟;阻断缓冲液(正常山羊血清)37℃30min;抗体(α2抗纤维蛋白溶酶)多克隆抗体1℃孵育:200在4°C下过夜,然后根据SP试剂盒(兔子)说明和DAB染色进行操作。
公司优势:
1)质量:我司提供的的试剂为世界。
2)价格:价格实惠,量大从优。
4)服务:提供完整的售前、售后和售中服务。售后到底。
如需订购α2纤溶酶色素上皮衍生因子抗体(A2AP),请联系我们。
| Anti-Melan-A/MART-1 黑色素瘤相关抗原/黑色素-A抗体 |
| Anti-Metal ion transporter 拟南介金属离子转运蛋白抗体 |
| Anti-Mfn1 (Mitofusin1) 线粒体融合蛋白1抗体 |
| Anti-MGMT (O6-methylguanine-DNA methyltransferase) O6甲基鸟嘌呤DNA甲基转移酶抗体 |
| anti-MT(metallothionein) 金属基质硫蛋白抗体 |
| anti-MGr1-Ag/37LRP(P37-kDa laminin receptor precursor)(NT) 层粘连蛋白受体1抗体(N端) |
| anti-MGr1-Ag/37LRP(P37-kDa laminin receptor precursor)(CT) 层粘连蛋白受体1抗体(C端) |