您的位置: 网站首页 >> 产品中心 >> >> 抗体 > A-Raf抗体
产品名称:

A-Raf抗体

产品型号: 产品时间: 2023-03-08
A-Raf抗体信号蛋白的raf家族有三种亚型:a raf、raf 1和b raf。这些蛋白有助于将有丝分裂原产生的刺激从单体G蛋白转移到MAP激酶途径。已知raf 1位于ras的下游,并通过一个N端非催化域与之结合。这个域保存在一个raf和b raf中。14-3-3也被认为是RAF的激活剂。活化的raf直接磷酸化并激活mek。RAF在泌尿生殖器官和肾脏组织中的表达浓度很高。

产品概述

英文名称:Anti-A Raf​

中文名称:A-Raf抗体

抗体来源:兔

克隆类型:多克隆

交叉反应:人、大鼠、小鼠

产品应用:WB=1:500-2000 ELISA=1:500-1000 IHC-P=1:400-800 IHC-F=1:400-800 IF=1:100-50(石蜡切片需做抗原修复)

尚未在其他应用程序中测试。

用户终应确定合适稀释浓度。

分子量:68kDa

细胞定位:细胞浆

状态:冻干或液体

浓度:1mg/ml

来源于:KLH conjugated synthetic peptide derived from human A Raf/ARAF:151-250/606

亚型:IgG

纯化方法:affinity purified by Protein A

储存液:0.01M TBS(pH7.4) with 1% BSA, 0.03% Proclin300 and 50% Glycerol.

​别    名:A raf 1; A-Raf; Raf1; A Raf proto oncogene serine/threonine protein kinase; ARAF 1; ARAF; ARaf proto oncogene serine/threonine protein kinase; ARAF1; Oncogene Araf1; Oncogene PKS2; PKS 2; PKS; PKS2; Proto oncogene Pks; RAFA 1; RAFA1; Ras binding protein DA Raf; v raf murine sarcoma 3611 viral oncogene homolog; v raf murine sarcoma 3611 viral oncogene homolog 1; v raf oncogene homolog 1 (murine sarcoma 3611 virus). ​

保存条件:在-20°C下保存一年。避免重复冻融循环。冻干抗体在室温下至少稳定一个月,并在-20°C下保持一年以上。当在无菌pH7.4 0.01M PBS或抗体稀释剂中重组时,抗体在2-4°C下至少稳定两周。

产品介绍

信号蛋白的raf家族有三种亚型:a raf、raf 1和b raf。这些蛋白有助于将有丝分裂原产生的刺激从单体G蛋白转移到MAP激酶途径。已知raf 1位于ras的下游,并通过一个N端非催化域与之结合。这个域保存在一个raf和b raf中。14-3-3也被认为是RAF的激活剂。活化的raf直接磷酸化并激活mek。RAF在泌尿生殖器官和肾脏组织中的表达浓度很高。

 

功能:

参与从细胞膜到细胞核的有丝分裂信号传导。

 

组织特异性:

主要在泌尿生殖组织。

 

相似性:

属于蛋白激酶超家族。tkl-ser/thr蛋白激酶家族。RAF亚家族

含有1个佛波酯/DAG型锌指。

包含1个蛋白激酶域。

包含1个RBD(RAS绑定)域。

 

重要注意事项:

本产品仅用于研究用途,不用于人类、治疗或诊断应用。

​​

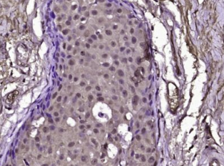
多聚甲醛固定,石蜡包埋(人乳腺癌);用柠檬酸钠缓冲液(pH6.0)煮沸15min后获得抗原;用3%过氧化氢阻断内源性过氧化物酶20分钟;阻断缓冲液(正常山羊血清)37℃30min;抗体(A rAF)多克隆抗体在1:4孵育。00在4°C下过夜,然后根据SP试剂盒(兔子)说明和DAB染色进行操作。

公司优势:
1)质量:我司提供的的试剂为世界。
2)价格:价格实惠,量大从优。
4)服务:提供完整的售前、售后和售中服务。售后到底。

如需订购A-Raf抗体,请联系我们。

Anti-IRS-1  胰岛素受体底物-1抗体
Anti-IRS-2  胰岛素受体底物-2抗体
Anti-IRS-3  胰岛素受体底物-3抗体
Anti-IRS-4  胰岛素受体底物-4抗体
Anti-ISR(Insulin Receptor)  胰岛素受体抗体
Anti-ISR-α (Insulin Receptor-α)  胰岛素受体-α抗体
Anti-ISR-β (Insulin Receptor-β)  胰岛素受体-β抗体
Anti-ITG-α/ CD49d  整合素α4抗体
Anti-ITG-β1/CD29(integrin β1)  粘附分子整合素β1抗体
Anti-ITG-α5/CD49e(Integrin α5)  粘附分子整合素α5抗体

留言框

  • 产品:

  • 您的单位:

  • 您的姓名:

  • 联系电话:

  • 常用邮箱:

  • 省份:

  • 详细地址:

  • 补充说明:

  • 验证码:

    请输入计算结果(填写阿拉伯数字),如:三加四=7
分享到:
版权所有©2019 上海晅科生物科技有限公司 备案号:京ICP证000000号
  • 扫一扫,关注我们