英文名称:Anti-phospho-AKT1 (Thr34)
中文名称:磷酸化蛋白激酶B抗体p-AKT1 (Thr34)
抗体来源:兔
克隆类型:多克隆
交叉反应:人、大鼠、小鼠
产品应用:WB=1:500-2000 ELISA=1:500-1000 IHC-P=1:400-800 IHC-F=1:400-800 Flow-Cyt=3μg/Test IF=1:100-500(石蜡切片需做抗原修复)
尚未在其他应用程序中测试。
用户终应确定合适稀释浓度。
分子量:56kDa
细胞定位:细胞核 细胞浆 细胞膜
状态:冻干或液体
浓度:1mg/ml
来源于:KLH conjugated Synthesised phosphopeptide derived from human AKT1 around the phosphorylation site of Thr34:DG(p-T)FI
亚型:IgG
纯化方法:affinity purified by Protein A
储存液:0.01M TBS(pH7.4) with 1% BSA, 0.03% Proclin300 and 50% Glycerol.
别 名:AKT1 (phospho T34); p-AKT1 (phospho T34); AKT 1; AKT; AKT1; AKT-1; AKT1_HUMAN; C AKT; cAKT; MGC9965; MGC99656; Oncogene AKT1; PKB; PKB alpha; PKB-ALPHA; PRKBA; Protein Kinase B Alpha; Protein kinase B; Proto-oncogene c-Akt; RAC Alpha; RAC alpha serine/threonine protein kinase; RAC; RAC PK Alpha; Rac protein kinase alpha; RAC Serine/Threonine Protein Kinase; RAC-alpha serine/threonine-protein kinase; RAC-PK-alpha; v akt murine thymoma viral oncogene homolog 1; vAKT Murine Thymoma Viral Oncogene Homolog 1; AKT1_HUMAN.
保存条件:在-20°C下保存一年。避免重复冻融循环。冻干抗体在室温下至少稳定一个月,并在-20°C下保持一年以上。当在无菌pH7.4 0.01M PBS或抗体稀释剂中重组时,抗体在2-4°C下至少稳定两周。
产品介绍
AKT1基因编码的丝氨酸苏氨酸蛋白激酶在血清饥饿的原代和永生化成纤维细胞中催化失活。血小板衍生生长因子激活AKT1和相关的AKT2。这种激活是快速和特异的,并且被AKT1的多曲蛋白同源域的突变所消除。结果表明,这种激活是通过磷脂酰肌醇3-激酶发生的。在发育的神经系统中,Akt是生长因子诱导的神经元存活的关键介质。生存因子可以通过激活丝氨酸/苏氨酸激酶AKT1以转录无关的方式抑制细胞凋亡,然后使凋亡机制的成分磷酸化并失活。这种基因的突变与变形综合征有关。已发现该基因的多个选择性剪接转录变体。[参考文献2011年7月提供]
功能:
AKT1是3种密切相关的丝氨酸/苏氨酸蛋白激酶(AKT1、AKT2和AKT3)之一,称为AKT激酶,它调节许多过程,包括代谢、增殖、细胞存活、生长和血管生成。这是通过一系列下游底物的丝氨酸和/或苏氨酸磷酸化来介导的。到目前为止,已有超过100种候选底物被报道,但对大多数底物,还没有报道亚型特异性。Akt通过调节胰岛素诱导的SLC2A4/GLUT4葡萄糖转运蛋白在细胞表面的易位来调节葡萄糖摄取。在“ser-50”处磷酸化ptpn1可负性调节其磷酸酶活性,防止胰岛素受体的去磷酸化和胰岛素信号的减弱。tbc14d4的磷酸化触发这种效应器与抑制性14-3-3蛋白的结合,这是胰岛素刺激葡萄糖转运所必需的。Akt还通过磷酸化“Ser-21”处的GSK3A和“Ser-9”处的GSK3B来调节糖原形式的葡萄糖储存,从而抑制其激酶活性。Akt磷酸化GSK3亚型也被认为是细胞增殖的一种机制。Akt也通过MAP3K5(凋亡信号相关激酶)的磷酸化调节细胞存活。‘ser-83’的磷酸化降低氧化应激刺激的MAP3K5激酶活性,从而阻止凋亡。Akt通过在“ser-939”和“thr-1462”处磷酸化tsc2来介导胰岛素刺激的蛋白质合成,从而激活mtorc1信号,并导致4e-bp1的磷酸化和rps6kb1的激活。Akt参与Foxo因子(转录因子叉头家族)成员的磷酸化,导致14-3-3蛋白结合和细胞质定位。特别地,foxo1在“thr-24”、“ser-256”和“ser-319”被磷酸化。FoxO3和FoxO4在等效位置被磷酸化。Akt在调节NF-kappa-b依赖基因转录中起着重要作用,并对CREB1(环AMP(cAMP)-反应元件结合蛋白)的活性起到积极的调节作用。Creb1的磷酸化诱导了bcl2和mcl1等促生存基因转录所必需的辅助蛋白的结合。Akt在ATP柠檬酸裂合酶(acly)上磷酸化“ser-454”,从而潜在地调节acly活性和脂肪酸合成。通过“ser-273”的磷酸化激活环核苷酸磷酸二酯酶(pde3b)的3b亚型,从而降低环AMP水平和抑制脂解。磷酸化“ser-318”上的pikfyve,导致pi(3)p-5活性增加。rho-gtpase激活蛋白dlc1是另一种底物,其磷酸化与调节细胞增殖和细胞生长有关。在成人神经发生过程中,Akt作为Akt-mtor信号通路的关键调节剂,控制新生神经元整合过程的节奏,包括正确的神经元定位、树突发育和突触形成。向磷脂酰肌醇3-激酶(pi(3)k)下游发送信号,介导血小板衍生生长因子(pdgf)、表皮生长因子(egf)、胰岛素和胰岛素样生长因子I(igf-i)等各种生长因子的作用。Akt介导了IGF-I的抗凋亡作用,这对于SPATA13介导的细胞迁移和粘附装配和分解的调节是*的。可能与胎盘发育的调节有关。在'THR-120'和'THR-387'处磷酸化STK4/MST1,从而抑制其:激酶活性、核易位、自磷酸化和磷酸化FoxO3的能力。在“thr-117”和“thr-384”处磷酸化stk3/mst2,从而抑制其:分裂、激酶活性、thr-180处的自磷酸化、与rassf1结合和核易位。磷酸化srpk2,增强其对srsf2和acin1的激酶活性
本产品仅用于研究用途,不用于人类、治疗或诊断应用。
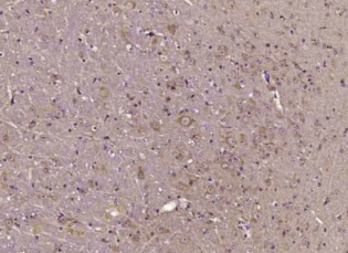
多聚甲醛固定,石蜡包埋(小鼠脑);用柠檬酸钠缓冲液(pH6.0)煮沸15min后获得抗原;用3%过氧化氢阻断内源性过氧化物酶20分钟;阻断缓冲液(正常山羊血清)在37℃下30min;用(磷酸-Akt1(Tr34))多克隆抗体进行抗体孵育。1:400在4°C下过夜,然后根据SP试剂盒(兔子)说明和DAB染色进行操作。
重要注意事项:
本产品仅用于研究用途,不用于人类、治疗或诊断应用。
公司优势:
1)质量:我司提供的的试剂为世界
2)价格:价格实惠,量大从优。
4)服务:提供完整的售前、售后和售中服务。售后到底
如需订购磷酸化蛋白激酶B抗体p-AKT1 (Thr34),请联系我们。
| Anti-Cyclin D2 周期素D2抗体 |
| Anti-Cyclin E 周期素E/原癌基因抗体 |
| Anti-Cyclin H 周期素H抗体 |
| Anti-Cygb (cytoglobin) 细胞球蛋白抗体 |
| Anti-CYP450(Cytochrome P450 monooxygenase) 细胞色素P450单氧化酶抗体 |
| anti-Cyr61(cysteine rich 61) 富半胱氨酸肝素结合蛋白61 |
| anti-CYP19 细胞色素P450 19抗体 |
| Anti-Cytochrome C(Cyt C) 细胞色素 C抗体 |
| Anti-Cytokeratin(CT) 细胞角蛋白抗体(C端) |
| Anti-anti-HCMV PP65/HHV5 PP65(Human Cytomegalovirus PP65 ) 人巨细胞病毒PP65/CMV低基质磷脂蛋白抗体 |
| anti-HCMV UL49(Human Cytomegalovirus UL49 Gene) 人巨细胞病毒UL49抗体 |