英文名称:Anti-ATF3
中文名称:活化转录因子3抗体(ATF3)
抗体来源:兔
克隆类型:多克隆
交叉反应:人,小鼠,大鼠,鸡,狗,牛
产品应用:WB=1:500-2000 ELISA=1:500-1000 IHC-P=1:400-800 IHC-F=1:400-800 IF=1:100-500(石蜡切片需做抗原修复)
尚未在其他应用程序中测试。
用户终应确定合适稀释浓度。
分子量:20kDa
细胞定位:细胞核
状态:冻干或液体
浓度:1mg/ml
来源于:KLH conjugated synthetic peptide derived from human ATF3:191-181/181
亚型:IgG
纯化方法:affinity purified by Protein A
储存液:0.01M TBS(pH7.4) with 1% BSA, 0.03% Proclin300 and 50% Glycerol.
别 名:Activating transcription factor 3; ATF3deltaZip2; ATF3deltaZip2c; ATF3deltaZip3; cAMP dependent transcription factor ATF3; Cyclic AMP dependent transcription factor ATF3; Cyclic AMP-dependent transcription factor ATF-3; TF3_HUMAN; cAMP-dependent transcription factor ATF-3; cyclic AMP-dependent transcription factor ATF-3 isoform 1.
保存条件:在-20°C下保存一年。避免重复冻融循环。冻干抗体在室温下至少稳定一个月,并在-20°C下保持一年以上。当在无菌pH7.4 0.01M PBS或抗体稀释剂中重组时,抗体在2-4°C下至少稳定两周。
产品介绍
这encodes基因成员的转录因子的激活mammalian of the / cAMP反应元件结合蛋白(CREB的)家庭的转录因子。This is a基因诱导模式信号包括多品种的模式,这些肿瘤细胞encountered of is involved in the,and process of复合泡沫塑料的应力响应。多个不同的成绩单编码isoforms variants been found for this基因。EN is possible that may be of this基因选择性剪接调控的重要目标,在physiologically of the基因。[提供]序列模式,2011年4月。
函数:
这binds cAMP反应元件蛋白(the(CRE)的共识是:5-gtgacgt [银] [交流] - 3),目前的病毒序列在多promoters和泡沫塑料。从represses promoters与ATF转录网站。它可能repress转录模式的稳定结合cofactors at the of the inhibitory启动子。2 activates presumably isoform转录模式sequestering inhibitory cofactors away from the promoters。
亚基:
binds作为二聚体或异二聚体的DNA。
subcellular位置:
伏。
相似:
belongs to the bZIP家庭。subfamily ATF。
1含有bZIP域。
转录调节因子(Transcriptin Regulators)
活化转录因子-3(属于activation transcription factor/cAMP responsive element binding protein家族)是真核细胞转录因子,同属于ATF/CREB家族。参与由cAMP或某些病毒蛋白质所诱导基因转录的调节。
转录激活因子3(activating transcription factor 3,ATF3)属含亮氨酸拉链结构的转录因子ATF/CREB家族成员,分子量20kDa,在大部分正常细胞中呈低浓度稳态表达。在正常组织中含量很低,在应激状态是表达增加,形成二聚体。ATF3是个应激早期快反应基因,体内外可被一系列损伤性应激信号快速诱导表达。ATF3不仅在应激反应中是个关键性的调控因子,还广泛参与了机体稳态维持、创伤愈合、细胞黏附、肿瘤形成、凋亡以及信号传导等生理和病理过程。ATF3与细胞生存和凋亡有关,但在不同的细胞状态下发挥不同甚至相反的作用。
本产品仅用于研究用途,不用于人类、治疗或诊断应用。
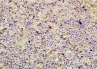
组织/细胞:小鼠胚胎组织;4%固定的对甲醛和石蜡嵌入式;
抗原检测:柠檬酸缓冲液(0.01m,pH 6.0),15分钟的沸腾;30分钟3%过氧化氢的块内过氧化物酶;20分钟的37度封闭缓冲液(正常Goat Serum);
孵化器:抗ATF3多克隆抗体,UNCONJUGATED1:200,Overnight at 4°C,followed by conferation to the secondary antibodyand DABstaining
重要注意事项:
本产品仅用于研究用途,不用于人类、治疗或诊断应用。
公司优势:
1)质量:我司提供的的试剂为世界
2)价格:价格实惠,量大从优。
4)服务:提供完整的售前、售后和售中服务。售后到底
如需订购活化转录因子3抗体(ATF3),请联系我们。
| Anti-CDK5(Cyclin Dependent Kinase 5) 周期素依赖性激酶5抗体 |
| Anti-CDK6 (Cyclin Dependent Kinase 6) 周期素依赖性激酶6抗体 |
| Anti-CDK7(Cyclin Dependent Kinase 7) 周期素依赖性激酶7抗体 |
| Anti-CDK8(Cyclin Dependent Kinase 8) 周期素依赖性激酶8抗体 |
| Anti-Cdkn1c/p57/Kip2 (Cyclindependent kinase inhibitor 1C) 周期蛋白依赖激酶抑制因子1C抗体 |
| Anti-CDR/YKL-40(cartilage glycoprotein,HCgp39) 软骨糖蛋白39抗体 |
| Anti-CEA (CaYTinoembryonic Antigen ) 人癌胚抗原抗体 |
| Anti-CEAcam8/CD67 (caYTinoembryonic antigen-related cell adhesion molecule 8) 癌胚抗原相关细胞粘附分子8抗体 |