英文名称:Anti-Gamma-Adaptin
中文名称:衔接蛋白γ/γ-Adaptin抗体
抗体来源:兔
克隆类型:多克隆
交叉反应:
产品应用:WB=1:500-2000 ELISA=1:500-1000 IHC-P=1:400-800 IHC-F=1:400-800 ICC=1:100-500 IF=1:100-500(石蜡切片需做抗原修复)
尚未在其他应用程序中测试。
用户终应确定合适稀释浓度。
分子量:91kDa
细胞定位:细胞浆 细胞膜
状态:冻干或液体
浓度:1mg/ml
来源于:KLH conjugated synthetic peptide derived from human Gamma-Adaptin:721-822/822
亚型:IgG
纯化方法:affinity purified by Protein A
储存液:0.01M TBS(pH7.4) with 1% BSA, 0.03% Proclin300 and 50% Glycerol.
别 名:Adapter-related protein complex 1 subunit gamma-1; Adaptor protein complex AP 1 gamma 1 subunit; Adaptor protein complex AP 1 subunit gamma 1; Adaptor protein complex AP-1 subunit gamma-1; Adaptor related protein complex 1 gamma 1 subunit; adaptor-related protein complex 1 gamma 1 subunit; ADTG; ADTG; AP 1 complex subunit gamma 1; AP-1 complex subunit gamma-1; AP1G1; AP1G1_HUMAN; CLAPG1; CLAPG1; Clathrin assembly protein complex 1 gamma 1 large chain; Clathrin assembly protein complex 1 gamma large chain; Clathrin assembly protein complex 1 gamma-1 large chain; Clathrin associated/assembly/adaptor protein large gamma 1; clathrin-associated/assembly/adaptor protein large gamma 1; Gamma1 adaptin; Gamma1-adaptin; Golgi adaptor HA1/AP1 adaptin gamma subunit; Golgi adaptor HA1/AP1 adaptin subunit gamma 1; Golgi adaptor HA1/AP1 adaptin subunit gamma-1; MGC18255.
保存条件:在-20°C下保存一年。避免重复冻融循环。冻干抗体在室温下至少稳定一个月,并在-20°C下保持一年以上。当在无菌pH7.4 0.01M PBS或抗体稀释剂中重组时,抗体在2-4°C下至少稳定两周。
产品介绍
适应性蛋白是从质膜或从高尔基体网络到溶酶体转运配体受体复合物的包被网格蛋白囊泡的重要组成部分。适应性蛋白家族由四类分子组成,分别是α、β、β素和γ适应性蛋白。适配器蛋白与中、小亚单位一起形成一种称为适配器的异源四聚体复合物,其作用是促进网格蛋白包衣小凹和小泡的形成。该基因编码的蛋白质是γ-适应性蛋白,属于衔接复合体大亚单位家族。
功能
Calthin相关的衔接蛋白复合物1亚基,在晚期高尔基/跨高尔基网络(TGN)和/或内体中蛋白质分选中起作用。AP复合物介导网格蛋白向细胞膜的募集和跨膜载货分子胞质尾部内分类信号的识别。
亚单位
衔接蛋白复合物1(AP-1)是一种由两个大的衔接蛋白(γ型亚单位ap1g1和β型亚单位ap1b1)、一个中等的衔接蛋白(μ型亚单位ap1m1或ap1m2)和一个小的衔接蛋白(sigma型亚单位ap1s1或ap1s2或ap1s3)组成的异源四聚体。结合rabep1和syrg。(通过GAE域)与AP1AR(通过螺旋线圈域)交互。
γ-Adaptin参与披网格蛋白小泡组装的一种蛋白质, 分子量为100kDa, 在披网格蛋白小泡组装中与受体的细胞质结构域相互作用, 起衔接作用。有两种类型衔接蛋白, AP1参与反面高尔基体的披网格蛋白小泡的组装, AP2则参与从细胞质膜形成的披网格蛋白的组装。
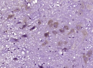
多聚甲醛固定,石蜡包埋(小鼠脑组织);用柠檬酸钠缓冲液(pH6.0)煮沸15min后获得抗原;用3%过氧化氢阻断内源性过氧化物酶20分钟;阻断缓冲液(正常山羊血清)在37℃下30min;用(γ-Advin)多克隆抗体进行抗体孵育。1:400在4°C下过夜,然后根据SP试剂盒(兔子)说明和DAB染色进行操作。
重要注意事项:
本产品仅用于研究用途,不用于人类、治疗或诊断应用。
公司优势:
1)质量:我司提供的的试剂为世界
2)价格:价格实惠,量大从优。
4)服务:提供完整的售前、售后和售中服务。售后到底
如需订购衔接蛋白γ/γ-Adaptin抗体,请联系我们。
| Anti-Annexin II 膜粘连蛋白-2抗体 |
| Anti-Annexin V 膜粘连蛋白-5抗体 |
| Anti-Annexin V (Recomb Humen Annexin V) 重组膜粘连蛋白-5(人)抗体 |
| Anti-AP1(adaptin) 衔接蛋白1抗体 |
| Anti-Apaf-1(Apoptosis protease activating factor-1)(CT) 凋亡蛋白活性因子-1抗体(C端) |
| Anti-Apaf-1(Apoptosis protease activating factor-1)(NT) 凋亡蛋白活性因子-1抗体(N端) |
| Anti-APC(Activated protein C) APC活化蛋白C抗体 |
| anti-apoD (Apolipoprotein/APOD protein ) 载脂蛋白D抗体 |
| Anti-Apo-E (Apolipoprotein E) 载脂蛋白E抗体 |