英文名称:Anti-ATF4
中文名称:活化转录因子4抗体(ATF4)
抗体来源:兔
克隆类型:多克隆
交叉反应:
产品应用:WB=1:500-2000 ELISA=1:500-1000 IHC-P=1:400-800 IHC-F=1:400-800 Flow-Cyt=0.2μg /test IF=1:100-500(石蜡切片需做抗原修复)
尚未在其他应用程序中测试。
用户终应确定合适稀释浓度。
分子量:38kDa
细胞定位:细胞核 细胞浆 细胞膜
状态:冻干或液体
浓度:1mg/ml
来源于:KLH conjugated synthetic peptide derived from human ATF4:251-351/351
亚型:IgG
纯化方法:affinity purified by Protein A
储存液:0.01M TBS(pH7.4) with 1% BSA, 0.03% Proclin300 and 50% Glycerol.
别 名:Cyclic AMP response element binding protein 2; DNA binding protein TAXREB67; Activating Transcription Factor 4; ATF 4; ATF4 protein; CREB 2; CREB2; CREB-2; Cyclic AMP dependent transcription factor ATF 4; Tax Responsive Enhancer Element B67; TAXREB67; TXREB; ATF4_HUMAN.
保存条件:在-20°C下保存一年。避免重复冻融循环。冻干抗体在室温下至少稳定一个月,并在-20°C下保持一年以上。当在无菌pH7.4 0.01M PBS或抗体稀释剂中重组时,抗体在2-4°C下至少稳定两周。
产品介绍
该基因编码一种转录因子,初被鉴定为一种广泛表达的哺乳动物DNA结合蛋白,可结合HTLV-1的LTR中的一种税收反应增强因子。编码蛋白也被分离出来,其特征是cAMP反应元件结合蛋白2(CREB-2)。该基因编码的蛋白质属于一个DNA结合蛋白家族,包括转录因子AP-1家族、cAMP反应元件结合蛋白(CREBs)和CREB样蛋白。这些转录因子共享蛋白-蛋白质相互作用所涉及的亮氨酸拉链区域,位于C-末端,作为作为DNA结合结构域的基本氨基酸的延伸。已经描述了两个编码相同蛋白质的替代转录物。两个假基因位于q28的X染色体上,位于一个含有大量反向重复的区域。[provided by RefSeq, Sep 2011]
功能
转录激活剂。结合camp应答元件(cre)(共识:5’-gtgacgt[ac][ag]-3’),一个存在于许多病毒和细胞启动子中的序列。与成骨细胞中的FoxO1合作,通过抑制β细胞生成和减少胰岛素生成来调节葡萄糖稳态。在HTLV-I的长末端重复序列中与一个税收反应增强因子结合,调节DDIT3/CHOP和天冬酰胺合成酶(ASN)对ER应激的诱导。与ddit3/CHOP协同,通过调节bbc3/puma的转录诱导,激活trib3的转录并促进ER应激诱导的神经元凋亡。激活siRT4的转录。
亚单位
Binds DNA as a homo- or heterodimer. Interacts (via its leucine zipper domain) with GABBR1 and GABBR2 (via their C-termini). Interacts (via its DNA binding domain) with FOXO1 (C-terminal half); the interaction occurs in osteoblasts and regulates glucose homeostasis through suppression of beta-cell proliferation and a decrease in insulin production. Interacts with SATB2; the interaction results in enhanced DNA binding and transactivation by these transcription factors. Interacts with CEP290 (via an N-terminal region). Interacts with NEK6, DAPK2 (isoform 2) and ZIPK/DAPK3. Forms a heterodimer with TXLNG in osteoblasts. Interacts with DDIT3/CHOP.
疾病
细胞质。细胞膜。细胞核。细胞质,细胞骨架,微管组织中心,中心体。注意=在海马神经元树突状膜中与GABBR1共定位。在中心体与NEK6共定位。
scf(btrc)对mtorc1信号的泛素化反应,接着是蛋白酶体降解,导致sirt4表达下调。被nek6磷酸化。在ser-219磷酸化betatrcp-degron基序,随后在thr-213、ser-224、ser-231、ser-235和ser-248磷酸化,促进与BTRC和泛素化的相互作用。磷酸化由mtorc1促进。被nek6磷酸化。
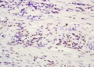
组织/细胞:人直肠癌;4%多聚甲醛固定石蜡包埋;
抗原提取:柠檬酸缓冲液(0.01M,pH 6),15min煮沸,用3%过氧化氢阻断内源性过氧化物酶30min;37℃下阻断缓冲液(正常山羊血清)20 min;
孵育:抗ATF4多克隆抗体,未结合 1:200,4°C下过夜,然后与二级抗体结合,DAB染色。
重要注意事项:
本产品仅用于研究用途,不用于人类、治疗或诊断应用。
公司优势:
1)质量:我司提供的的试剂为世界
2)价格:价格实惠,量大从优。
4)服务:提供完整的售前、售后和售中服务。售后到底
如需订购活化转录因子4抗体(ATF4),请联系我们。
| Anti-AIF(Apoptosis-Inducing Factor) 调亡诱导因子抗体 |
| Anti-AK-1(Adenylate Kinase 1) 腺苷酸激酶-1 |
| Anti-ALK/CD246Ag (Anaplastic Lymphoma Kinase) 间变型淋巴瘤激酶抗体 |
| Anti-AMACR/P504S(alpha-methylacyl-CoA racemase) α-甲基酰基辅酶A消旋酶抗体 |
| Anti-AMPK alpha-1 (AMP-activated Protein Kinase-α1) 腺苷单磷酸活化蛋白激酶α1抗体 |
| Anti-AMPKβ1 (AMP-activated Protein Kinase beta-1) 腺苷单磷酸活化蛋白激酶β1抗体 |