英文名称:phospho-AMPK alpha-1 (Thr183)
中文名称:磷酸化腺苷单磷酸活化蛋白激酶α1抗体
抗体来源:兔
克隆类型:多克隆
交叉反应:人、大鼠、小鼠、鸡、狗、猪、牛、马、兔、羊
产品应用:WB=1:500-2000 ELISA=1:500-1000 IHC-P=1:400-800 IHC-F=1:400-800 Flow-Cyt=1ug/test IF=1:100-500(石蜡切片需做抗原修复)
尚未在其他应用程序中测试。
用户终应确定合适稀释浓度。
分子量:64kDa
细胞定位:细胞核 细胞浆
状态:冻干或液体
浓度:1mg/ml
来源于:KLH conjugated Synthesised phosphopeptide derived from human AMPK alpha 1 around the phosphorylation site of Thr198(isoform 2)/Thr183(isoform 1):LR(p-T)SC
亚型:IgG
纯化方法:affinity purified by Protein A
储存液:0.01M TBS(pH7.4) with 1% BSA, 0.03% Proclin300 and 50% Glycerol.
别 名:phospho-AMPK alpha-1(Thr198)(isoform 2); phospho-AMPK alpha-1(Thr183)(isoform 1); AMPK alpha 1; 5 AMP activated protein kinase alpha 1catalytic subunit; 5 AMP activated protein kinase catalytic alpha 1 chain; 5' AMP activated protein kinase catalytic subunit alpha 1; AAPK1; acetyl CoA carboxylase kinase; AI194361 antibody AI450832; AL024255; AMP -activate kinase alpha 1 subunit; AMP-activated protein kinase, catalytic, alpha -1; AMPK 1; AMPK alpha 1 chain; AMPK antibody AMPK1; AMPKa1; AMPKalpha1;C130083N04Rik; cb116 antibody EC 2.7.11.1; HMG CoA reductase kinase; hormone sensitive lipase kinase; im:7154392 antibody kinase AMPK alpha1; MGC33776;MGC57364 antibody PRKAA 1; PRKAA1;Protein kinase AMP activated alpha 1 catalytic subunit; SNF1-like protein AMPK; wu:fa94c10; AAPK1_HUMAN.
保存条件:在-20°C下保存一年。避免重复冻融循环。冻干抗体在室温下至少稳定一个月,并在-20°C下保持一年以上。当在无菌pH7.4 0.01M PBS或抗体稀释剂中重组时,抗体在2-4°C下至少稳定两周。
产品介绍
该基因编码的蛋白属于SER/THR蛋白激酶家族。是5’-原AMP活化蛋白激酶(AMPK)的催化亚单位。AMPK是一种保存在所有真核细胞中的细胞能量传感器。AMPK的激酶活性由增加细胞AMP/ATP比值的刺激物激活。AMPK通过磷酸化调节一些关键代谢酶的活性。它通过关闭消耗ATP的生物合成途径来保护细胞免受导致ATP耗尽的压力。另外,还观察到编码不同亚型的剪接转录变体。
功能
AMP活化蛋白激酶(AMPK)的催化亚单位,是一种在调节细胞能量代谢中起关键作用的能量传感器蛋白激酶。为了响应细胞内ATP水平的降低,AMPK激活能量产生途径并抑制能量消耗过程:抑制蛋白质、碳水化合物和脂质的生物合成,以及细胞的生长和增殖。AMPK通过代谢酶的直接磷酸化作用,并通过转录调节器的磷酸化作用发挥长期作用。也可以通过重塑肌动蛋白细胞骨架来调节细胞极性,可能通过间接激活肌球蛋白。通过磷酸化和灭活脂质代谢酶(如acaca、acacb、gys1、hmgcr和lipe)调节脂质合成;通过磷酸化乙酰辅酶A羧化酶(acaca和acacb)和激素敏感脂肪酶(lipe)分别调节脂肪酸和胆固醇合成。通过磷酸化IRS1、PFKFB2和PFKFB3调节胰岛素信号传导和糖酵解。AMPK通过增加葡萄糖转运体SLC2A4/GLUT4向质膜的易位来刺激肌肉中的葡萄糖摄取,可能通过调节TBC1D4/AS160的磷酸化来实现。通过磷酸化参与能量代谢的转录调节器,如crtc2/torc2、foxo3、组蛋白h2b、hdac5、mef2c、mlxipl/chrebp、ep300、hnf4a、p53/tp53、srebf1、srebf2和ppargc1a,调节转录和染色质结构。通过磷酸化crtc2/torc2,作为肝脏葡萄糖稳态的关键调节器,导致crtc2/细胞质中的torc2隔离。在应激反应中,组蛋白h2b(h2bs36ph)的磷酸化“ser-36”,从而促进转录。通过磷酸化tsc2、rptor和atg1作为细胞生长和增殖的关键调节器:针对营养限制,通过磷酸化mtorc1复合物的rptor成分和磷酸化和激活tsc2负性调节mtorc1复合物。针对营养限制,通过磷酸化和激活ulk1促进自噬。AMPK还通过调节cry1的磷酸化来调节昼夜节律,导致其不稳定。可能通过磷酸化ctnb1来调节Wnt信号通路,从而使其稳定。也具有tau蛋白激酶活性:对camkk2激活的淀粉样βA4蛋白(app)暴露作出反应,导致mapt/tau磷酸化;然而,这些数据在体内的相关性尚不清楚。同时磷酸化cftr、eef2k、klc1、nos3和slc12a1。
亚单位
AMPK是α催化亚单位(prkaa1或prkaa2)、β(prkab1或prkab2)和γ非催化亚单位(prkag1、prkag2或prkag3)的异源三聚体。与FNIP1和FNIP2相互作用。
细胞质。细胞核。注=针对压力,p53/tp53招募到特定的启动子。
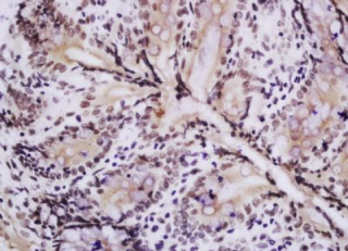
组织/细胞:大鼠直肠组织;4%多聚甲醛固定石蜡包埋;
抗原提取:柠檬酸缓冲液(0.01M,pH 6),15min煮沸,用3%过氧化氢阻断内源性过氧化物酶30min;37℃下阻断缓冲液(正常山羊血清)20 min;
孵育:抗磷酸AMPKα-1(THR183)多克隆抗体,未结合 1:200,在4°C下过夜,然后接合到二级抗体和DAB染色。
重要注意事项:
本产品仅用于研究用途,不用于人类、治疗或诊断应用。
公司优势:
1)质量:我司提供的的试剂为世界
2)价格:价格实惠,量大从优。
4)服务:提供完整的售前、售后和售中服务。售后到底
如需订购磷酸化腺苷单磷酸活化蛋白激酶α1抗体,请联系我们。
| Anti-ADAM-TS7 (A Disintegrin-like and Metalloprotease with Thrombospondin Type 1 Motif, 7) 整合素样金属蛋白酶与凝血酶1型-7(抗体) |
| Anti-Adducin protein 内收蛋白抗体 |
| Anti-ADFP/ADRP/adipophilin (adipose differentiation-related protein) 脂肪组织分化相关蛋白抗体 |
| Anti-Adipo R1 (adiponectin receptor 1) 脂联素受体-1抗体 |
| Anti-Adipo R2 (adiponectin receptor 2) 脂联素受体-2抗体 |
| Anti-Adiponectin 脂联素抗体 |
| Anti-ADM (Adrenomedullin) 肾上腺髓质素抗体 |
| Anti-ADM R (Adrenomedullin receptor) 肾上腺髓质素受体抗体 |
| Anti-ADNP/NAP (Activity-dependent Neuroprotective protein ) 活性依赖的神经保护肽抗体 |