关于我们 -
联系我们 -
在线留言
欢迎访问上海晅科生物科技有限公司网站!
首页
关于我们
产品中心
新闻动态
技术文章
合作伙伴
在线留言
联系我们
产品目录
细胞
原代细胞
细胞系
查看全部
热点新闻
晅科生物新品丨副溶血性弧菌(VP)荧光PCR试剂盒
2024-11-27
晅科生物新品丨肺炎链球菌(SP)荧光PCR试剂盒
2024-11-27
晅科生物新品丨登革热病毒通用型(DFV-U)荧光PCR试剂盒
2024-11-25
晅科生物新品丨布鲁氏杆菌(Brucella)荧光PCR试剂盒
2024-11-25
晅科生物新品丨百日咳杆菌荧光PCR试剂盒
2024-11-25
晅科生物新品丨埃博拉病毒荧光PCR试剂盒
2024-11-25
晅科生物新品丨A族链球菌荧光PCR试剂盒
2024-11-25
晅科生物新品丨诺如病毒检测试剂盒
2024-11-08
实时荧光PCR试剂盒的深入解析
2024-06-25
酶联免疫试剂盒的基础原理、应用与未来展望
2023-12-29
相关文章
NK细胞分型标志物
揭秘原代细胞:生命起点的科学密码
细胞培养基:关键成分与选择要点揭秘
原代细胞的微观奥秘:探索生命基石的未解之谜
揭秘细胞培养基的奥秘
细胞系的奇妙之旅
细胞系的奥秘与探索
原代细胞厂家的探索之旅
原代细胞厂家推动医学研究的关键力量
细胞培养基该如何选择
您的位置:
网站首页
>>
产品中心
>>
细胞
>>
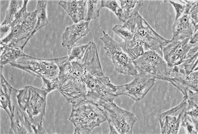
HLF;人淋巴成纤维细胞(原代细胞)
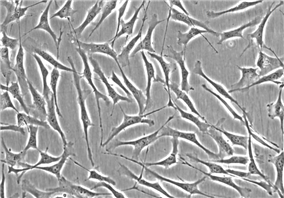
HLEC;人淋巴内皮细胞(原代细胞)
HVMF;人绒毛间充质成纤维细胞(原代细胞)
HVT;人绒毛膜滋养层细胞(原代细胞)
HPVEC;人羊膜上皮细胞(原代细胞)
HUC;人尿道上皮细胞(原代细胞)
HBdSMC;人膀胱平滑肌细胞(原代细胞)
HTMC;人小梁网细胞(原代细胞)
HNPCEpiC;人非色素睫状上皮细胞
共 328 条记录,当前 4 / 37 页
首页
上一页
下一页
末页
跳转到第
页
扫一扫,关注我们